News
25. März 2019
Bequem hoch 4 – für OÖ und Salzburg
Für Patienten aus OÖ und Salzburg – Einfach „Bequem hoch 4“ Unser exklusives und neues „Bequem hoch 4“- Konzept ist für die zahlreichen Patienten aus Oberösterreich und Salzburg gedacht, die oft sehr…
25. Januar 2019
Gewinnspiel! Wo ist das Zahnimplantat?
Frage an Euch! Mal sehen, wer es weiß! Wo ist das Zahnimplantat? Schreibt uns einfach eine Mail an willkommen@implantat.or.at wo ihr das Zahnimplantat vermutet. Gerne weiterleiten! Der Gewinner…
21. Dezember 2018
Niederösterreich erhält als zweites Bundesland „All-on-4“-Kompetenzzentrum für Zahnimplantate
Gerade wurde es in Niederösterreich verliehen. Erst zum zweiten Mal erhält eine Praxis in Österreich diese Zertifizierung als "All-on-4"- Kompetenzzentrum für Zahnimplantationen. Die Praxis von DDr.…
18. Dezember 2018
Unsere neue Homepage zu „All on 4“
Rechtzeitig vor Weihnachten, wobei das ein schöner zeitlicher Zufall ist , haben wir endlich unsere Themenhomepage www.allon4.at online stellen können. Einfach reinschauen, es lohnt sich! DDr. Jahl…
7. Dezember 2018
we proudly present: www.allon4.at und Kompetenzzentrum für All-on-4
Ja, wir sind sehr stolz darauf. Seit einigen Tagen ist unsere ganz spezielle Themenhomepage online. www.allon4.at Diese neue Homepage handelt nur von All-on-4 , also vom Konzept der festen Zähne an…
4. Dezember 2018
Kieferchirurg aus NÖ erfüllt höchste Kriterien als „All-on-4“-Kompetenzzentrum
Das "All-on-4"-Konzept in der Implantologie ist ein Meilenstein in der Zahnmedizin für betroffene zahnlose oder vor allem bald ganz zahnlose Menschen. Diese moderne Behandlung ist der Wegbereiter für…
4. Dezember 2018
Brief aus Naumburg an der Saale
DDr. Gerald Jahl beantwortet per Video einen Brief einer netten Dame aus Deutschland. Warum: Weil die Adresse leider unvollständig war, und weil es keine Telefonnummer oder E-Mail-Adresse gibt.…
3. Oktober 2018
DDr. Jahl zeigt uns seine Ordination
DDr. Jahl führt uns, anlässlich eines Besuchs von Alois Gmeiner, Querdenker, Innovator und Autor von mehr als 40 Büchern, kurz und ganz spontan durch seine Ordination in Eggenburg. Der Gmeiner hat…
3. Oktober 2018
Nachteile der Online-Terminvergabe
DDr. Jahl erklärt im Gespräch mit Herrn Alois Gmeiner, warum er die Online-Terminvergabe über eine externe Firma nach 1 Jahr wieder von seiner Homepage entfernt hat . Die 24/7 Terminvergabe online…
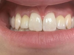
3. Oktober 2018
Wieviel weiß ist sinnvoll als Zahnfarbe?
DDr.Jahl im aktuellen Interview mit Alois Gmeiner. Diesmal geht's darum, ob es sinnvoll ist ein Hollywoodweiß als Zahnfarbe zu haben. Weiter zum Video
News-Archiv